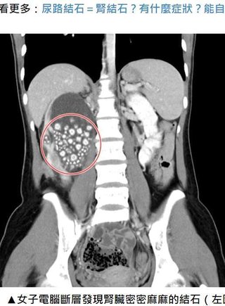
グロ注意「水をほとんど飲まなかった20歳女性の腎臓から300個以上の結石を回収(台湾) 投稿画像

グロ注意「水をほとんど飲まなかった20歳女性の腎臓から300個以上の結石を回収(台湾)
投稿するまえにもう一度確認

ママスタコミュニティはみんなで利用する共有の掲示板型コミュニティです。みんなが気持ちよく利用できる場にするためにご利用前には利用ルール・禁止事項をご確認いただき、投稿時には以下内容をもう一度ご確認ください。

上記すべてをご確認いただいた上で投稿してください。